
Yasutaka Matsui
経歴
- 2003年東京歯科大学入学
- 2009年京都大学医学部付属病院・口腔外科学講座
インプラント専門外来 - 2010年京都大学医学部付属病院関連病院
麻酔科・口腔外科 - 2012年医療法人 健志会 ミナミ歯科クリニック勤務
分院長など歴任 - 2021年YASU DENTAL CLINIC 開院
- 2024年医療法人ガミースマイルクリニック 設立
ラミネートベニア・セラミック治療の実績
- 治療経験 13年以上
- 累計 1000症例以上
ごあいさつ
ラミネートベニア専門サイトをご覧いただき、誠にありがとうございます。
私は歯科医師としてこれまで多くの審美歯科治療に携わってきました。
セラミックを使用せず、歯を全く削らずに歯科用樹脂で審美的に形態を整えるダイレクトボンディングから、セラミックの被せ物を使用するセラミック矯正、そして歯を削る量を極限まで抑えたラミネートベニアの治療まで、様々な治療を行ってきました。
他院のセラミック治療の「やり直し相談」が多い
その中でも、当院で特に多く関わってきたのが、他院で行われたセラミック治療のやり直しをご検討されている患者様からのご相談です。
多くの方は、まずお近くの歯科医院やいつも通われている歯科医院でセラミック治療を受けられますが、その仕上がりに納得できず、色々調べられた結果、当院にご相談にお越し頂くことが多くあります。
セラミックを使えば、すべての仕上がりが綺麗になるわけではありません。
セラミックの被せ物やラミネートベニアは、歯科医師が作っている訳ではなく、歯科技工士という歯を作る職人の仕事になります。
そのため、患者様から見てわかるセラミックの仕上がりや美しさは、作成を担当する歯科技工士の技量によって大きく左右されます。
各歯科医院で担当している歯科技工士はさまざまであるため、歯科医院ごとに仕上がりが大きく変わってきます。
当院では、セラミックの講師をしており、度々全国誌に掲載されるような有名な歯科技工士と常に治療を行なっております。
よって当院の仕上がりは、高感度の一眼レフのカメラで、至近距離から撮影した写真であっても、セラミックなのか天然の歯なのか見分けが付かないほど、自然な仕上がりを実現しています。
その数々の症例をご覧になり、このような治療を受けたいとご希望頂き、セラミック治療のやり直しのご相談を多く頂くようになりました。
私が実際見てきた「悲惨な症例」
その中で、過去に他院で行われたセラミック治療により、歯を不用意に沢山歯を削られたり、不必要に歯の神経を抜かれたり、セラミックと歯の間に大きな隙間が生じ、そこから虫歯になったり、汚れが溜まりやすい形態のセラミックが装着され、歯周病を引き起こしていたり、言葉は悪いですが、私はこれまでに多くの悲惨な症例を見てきました。
患者様から見て分かるのは、その表面的な部分だけですが、そこに至るまでの歯の調整方法や、セラミックの設計、型取りなど歯科医師の治療方針や技術によって、治療の結果は、大きく変わってきます。
ただ白いセラミックの歯が入り、「綺麗になった!」と感じるだけでは、数年後に思わぬトラブルに悩まされることも、決して少なくありません。
ラミネートベニアは「最も繊細さが求められる」治療
特にラミネートベニアは、セラミック治療の中でも、歯科医師の繊細さが最も求められる非常に高度な治療の分野です。
当院にお越し頂くラミネートベニアのトラブルで最も多いのが、歯が分厚くなってしまい、「出っ歯のようになった」、「歯がボテっと大きく見える」といったご相談です。
ラミネートベニアは本来、コンタクトレンズのように非常に薄いセラミックを、歯の表面に貼り付ける治療ですが、その薄さに見合ったレベルで歯を調整する技術が歯科医師に備わっていなければ、仕上がりの歯が分厚くなりすぎたり、出っ歯のような印象になってしまい、かえって見栄えを損ねてしまうこともあります。

こちら写真は、他院で4枚のラミネートベニアの治療を受けられた患者様の症例です。セラミックが分厚く、色や形にもご不満があり、やり直しをご希望されて当院にご相談に来られました。
既存のラミネートベニアを、天然の歯を傷つけないよう細心の注意を払いながら撤去したところ、歯は大きく削られて歯の本来の形態を失っており、表面も著しく凸凹して繊細に治療されているとは言い難い状態でした。

こちら写真は別症例にはなりますが、当院で行なったラミネートベニア治療における「歯の調整前後」の比較写真です。
本来、ラミネートベニアは「削ったかどうか分からない」程度の、研磨のような調整が理想的です。調整後でも歯の本来の形態が保たれており、表面が滑らかな状態です。
このようなミクロ単位の繊細な調整を行うことで、初めて厚みのない・自然で綺麗なラミネートベニアの治療を行うことができます。

こちら実際に当院で治療を行った症例の治療前後の写真です。
エナメル質は0.3〜0.8mm。だからこそ慎重でなければならない
少し細かい話になりますが、ラミネートベニアは、歯の最表面にある、エナメル質にのみ接着することができます。
そのエナメル質の厚みは、0.3〜0.8mm程度と言われており、その厚み以上歯を削ってしまうと内部にある象牙質が露出し、ラミネートベニアの治療自体ができなくなってしまいます。
当院にお越し頂くラミネートベニアのやり変えをご希望されている患者様の多くは、その大事なエナメル質の大半が、歯科医師の不用意な切削により既に失われており、実際にラミネートベニアのやり直しが可能な方は、ほんの一握りの方に限られます。
先ほどの症例にもあったように、他院で装着されているラミネートベニアを、エナメル質が失われないように最大限の注意を払いながら除去した際、私がよく感じるのは「もう少し繊細に歯を扱うことができなかったのか」、「この削り方を、果たして自分の家族や友人に行うのか」という、悔やまれる複雑な感情です。
もしこれが、ご自身の歯だったらどうでしょうか…
ラミネートベニアをご希望される患者様の想いは様々ですが、皆様今よりも綺麗に、美しく、自信を持って人前で歯を見せられるように、そして思いっきり笑えるようになるために治療をされているのだと思います。
その気持ちを十二分に汲み取り、その期待に応えることが、私たち歯科医師の仕事だと考えています。
一度削ってしまった歯は、二度と元に戻すことはできません。
実は私の父は、20代で度重なる虫歯治療に嫌気がさし、「全ての歯を被せ物にすれば虫歯にならないのではないか?」と言う安易な考えから、全ての歯を削り、セラミックの被せ物を装着する治療を受けました。
その装着されたセラミックの被せ物は、ほとんどが連結された状態の歯で、歯間ブラシやフロスが通りにくく、非常に歯磨きがしにくい構造でした。その結果、清掃不要が原因となり歯周病が進行し、最終的には全ての歯を失い、総入れ歯になってしまったのです。
今となって歯科医師目線で振り返ると、不用意に歯を削るような治療を思いとどまらせてくる提案をしてくれなかったのか、本来の虫歯になりやすい原因は他にあることをきちんと教えてくれる歯科医院と出会えなかったのか、歯磨きしやすいように配慮した被せ物を装着してくれる歯科医師と出会えなかったのか、悔やんでも悔やみきれません。
そんな歯で苦労する家族を間近で見てきたので、どの歯科医院で治療を行うかで歯の将来は大きく変わってくることを誰よりも知っています。

最初の治療を、どこで行うか、どの歯科医師・歯科技工士が担当するのかによって、皆様の歯の将来も大きく変わってきます。
ラミネートベニアが流行っているから、数回の治療で簡単に綺麗になるからと安易な考えで治療を決めるのではなく、ご自身の歯を大切に考え、心から信頼のおける歯科医院で治療を受けて頂きたいと、私は思っております。
「天然の歯に勝るものは無い」という考え
当院の基本的な考えは、「天然の歯に勝るものはない」と思っております。 セラミックもきちんとした診査・診断のもとで適切な治療を行えば、今よりもより美しく仕上げ、長持ちさせることも十分可能な方法ではあります。しかし一方で、セラミックはあくまで人工物であるという認識も、少なからず必要になります。 世の中にあるものすべて同じですが、人の手によって作られて人工物には、必ず故障や修理、トラブルといったリスクが伴います。 どれほど精密な機械であっても、またどれほど精巧な時計や高級な車であっても、必ず故障や修理などが必要になります。 ラミネートベニアも同様で、一生何のトラブルもなく長持ちさせ続けることができると断言できる歯科医師はいません。 しかし天然の歯であれば、100歳でも綺麗な歯で食事をされている方もいらっしゃるので、天然の歯は、80年90年持たせることができる、素晴らしい体の組織なのです。
時代が変わり、求められる「美しさ」も変わった
しかし時代の流れとともに、口元の審美に対する考え方も、ここ数年で大きく変わってきました。 ただホワイトニングなどで歯が白いだけでは、満足できない時代になったのです。 SNSの普及や携帯カメラの高性能化により、自身の笑顔や歯の印象が、誰もが携帯画面越しに鮮明に目にすることのできる時代となりました。その結果、より良い印象を求めて、自己表現の一つとして、歯の色味だけでなく、形や表面性状まで含めた、より高い審美性を求める風潮が生まれたのだと思います。 その点、ラミネートベニアは、天然の歯を守りながら、歯の色や形、表面性状も整えることができ、より高い審美性を得ることのできる、非常に優れた治療方法だと考えています。
韓国で広まった背景と「厚み論争」
ラミネートベニアの先進国といえば、美容大国の韓国です。 ラミネートベニアという治療方法自体は、昔から行われてきた治療方法ですが、エナメル質の薄いアジア人には、適応が難しく、あまり行われてこなかった治療方法でもありました。 しかし、セラミック技術の進歩や材料の品質向上により、0.1mmほどの非常に薄いセラミックの作成が可能となり、近年韓国を中心にアジア圏へと急速に広まっていった経緯があります。 その一方で、「厚み論争」が激化し、0.1mmや00.1mm、000.1mmとラミネートベニアは薄ければ薄いほど良いかのような風潮も見受けられるようになりました。 しかし実際には、患者様ごとに歯並びや歯の捻じれ、形態などは異なります。そのため、前方に厚みを持たせた方が美しく仕上がる部位もあれば、内側に引っ込めたい部位では、より薄い設計の方が適している場合もあります。 また、こうした厚みの議論には、装着時に使用するセメントの厚みは加味されておらず、セメントをどのように扱い使用するかによっても、最終的な仕上がりの厚みは大きく変わってきます。 仮にラミネートベニアの厚みが0.1mmであっても、セメントの厚みが0.1mm(一般的には、0.02〜0.06mmが理想的と言われています)になってしまえば、最終的な厚みは2倍の0.2mmになってしまいます。 単に数値としての厚みに翻弄されるのではなく、最終的な仕上がりを見て判断することが何より重要です。症例は嘘をつきません。医院ごとの症例をしっかりと確認したうえで、治療を検討して頂きたいと思います。
技工士主導で広まった韓国、そして日本の匠
この厚み論争の背景には、韓国の非常に優秀な歯科技工士の存在があります。 韓国のラミネートベニアの火付け役となった、ミニッシュやゼロネイトなどは、いずれもラミネートベニアを極めて薄く作成できる優秀な歯科技工士が関わっていたことで、注目を集め、有名になっていったという背景があります。 韓国系ラミネートベニアは、実は歯科医師主導で広まったというよりも、どちらかといえば、卓越した技術を持つ歯科技工士の発信からスタートした治療であるといえます。 しかし実は、世界的にも有名な歯科技工士の中には、日本人が数多く存在します。ハリウッドスターなどを数多く手がける林直樹氏や、韓国のセラミストも学びに訪れるセラミックトレーニングセンターの創設者片岡繁夫氏など世界的に高く評価されている歯科技工士は、実は日本人の方が多いのかもしれません。 本来日本人は、「匠の技」を持つ国として世界から認識されています。 日本国内にもこのような匠の技を持つ、歯科技工士は多くはないかもしれませんが、確かに一定数いらっしゃいます。 そうした歯科技工士が手がけるラミネートベニアは、韓国と同様の厚みで作成することができ、さらに精度や表面の質感などの点においては、韓国以上のクオリティを出すことも十分に可能だと思っています。
渡韓治療のトラブルと、医院選びの重要性
最近では、渡韓してラミネートベニア治療を受けられた後、欠けたり外れたりといったトラブルが生じ、その際に再治療のため、再びわざわざ渡韓しなければならないというお話を、患者様から伺う事も増えてきました。 冒頭でもお話ししたように、ラミネートベニアはセラミック治療の中でも、最も繊細さが求められる非常に高度な治療であり、さまざまな知識や技術が必要となります。 またラミネートベニアも人の手によって作られる人工物である以上、少なからずトラブルの可能性は存在します。一生涯何のトラブルもなく持ち続けることは、非常に難しいということです。 ラミネートベニアの治療は最初にどこで行うか、どの歯科医師が担当し、どの歯科技工士が作成するかによって、仕上がりの美しさや長持ち具合は大きく変わってきます。 一度削られてしまった歯は、二度と元に戻すことはできません。 だからこそ治療前に、ラミネートベニアの良い所だけでなく、リスクや限界についても、きちんと正直に説明してくれる誠意ある歯科医院と出会うことが、後悔のないラミネート治療において、何よりも重要であると考えています。
最後に
最後まで、長文をお読み頂き誠にありがとうございました。私が、このホームページを立ち上げた理由も、今の流行だけでラミネートベニア治療が行われ、その結果、後になってトラブルに遭われ後悔される患者様が1人でも少なくなるよう正しい情報をお伝えしたいという想いからでした。韓国系のラミネートベニアが流行り始めて数年が経ちますが、既にトラブルに遭われ、後悔されている患者様がいらっしゃるのも事実です。 幾度となくお伝えしてきましたが、一度削られてしまった歯は二度と元に戻すことはできません。 「綺麗になりたい」、「歯にコンプレックスがあり、思いっきり笑うことができない」そんな切実な思いを抱えている皆様にとって、このホームページが少しでもお役に立つことができれば幸いです。
YASU DENTAL CLINIC
院長 松井泰隆
資格・認定医
- 日本顎咬合学会 認定医
- インビザライン・ドクター(認定医)
- 所属学会・研修会・役職等
- ADPR インプラント軟組織コース インストラクター
- 日本臨床歯科学会(大阪SJCD) 役職:委員
- 日本口腔インプラント学会
- 日本臨床歯周病学会
- 国際口腔インプラント学会(International Society of Oral Implantology)
- ITI(International Team for Implantology)
- 日本歯科審美学会
- 日本顎咬合学会 会員
- 大森塾1期生
講義・講演・論文発表・書籍関連
ガミースマイル関連
- 2024.2.4 日本臨床歯科学会(大阪SJCD)にてガミースマイルに関する講演発表(オービック御堂筋ビル)
- 2023.4.12 大阪医専にてEsthetic Dentistry Gummy Smileに関する講義
インプラント関連
- 2025.4.28 ITI SC阪神にて症例発表
- 2023.10.4 大成学院大学歯科衛生士専門学校にてインプラントの講義
- 2022.9.14 大成学院大学歯科衛生士専門学校にてインプラントの講義
書籍関連(専門誌への症例提供)
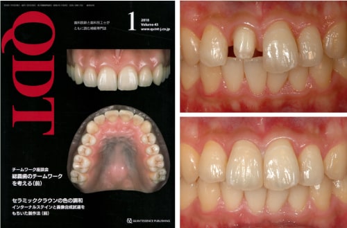
Quintessence of Dental Technology 2018年1月号

歯科医師、歯科技工士の国際誌QDTにおける特集
「オールセラミックスにおける色調・形態の調和を求めた中切歯単冠修復」
に症例提供させていただきました。
Quintessence of Dental Technology 2018年11月号

歯科医師、歯科技工士の国際誌QDTにおける特集
「Porcelain Fused Zirconiaにおける変色歯への対応」
に症例提供させていただきました。
主な受講コース・研修歴
- 京都大学医学部付属病院ICLS修了
- Cortellini コース in Italy 歯周組織再生療法
- BPS義歯クリニカルコース修了
- 明石矯正研修会レギュラーコース修了
- インビザラインコース修了
- 京都大学医学部付属病院・第157回京都歯科口腔外科集団会
- 京都大学医学部付属病院・第158回京都歯科口腔外科集団会
- iCEED サイナスリフトコース
- テルナジャパン ヒアルロン酸・ボトックスコース
- GPO アドバンスコース
- iCEED GBRコース
- ストローマン インプラントオーバーデンチャーコース
- iCEED リッジプリザベーションコース
- 大森塾1期2年コース受講
- ITI Education Course Basic Implantology Standard修了
- 明海大学オーラルリハビリテーションコース修了
- 第30回日本顎咬合学会学術大会
- 第31回日本顎咬合学会学術大会 ポスター発表
- 第32回日本顎咬合学会学術大会 一般公演発表
- 第33回日本顎咬合学会学術大会 一般公演発表
- 第34回日本顎咬合学会学術大会 一般公演発表
- 第35回日本顎咬合学会学術大会 一般公演発表
- 第36回日本顎咬合学会学術大会 一般公演発表
- 国際治療教育研究所 嚥下障害修了
- ADPR軟組織マネージメントコース修了
- ADPRインプラント定位置埋入コース修了
- Straumann FORUM 2016 in Tokyo
- Regenerative procedures and GBR techniques with Emdogain修了
- IMBD(International Meeting For Bonafide Dentistry)
- 咬合補綴治療計画セミナー修了


















